中新网南宁12月29日电 (张广权)广西医科大学第一附属医院29日介绍,近日,该院心胸外科联合放射学科、导管手术麻醉室为两名患者成功开展穿刺手术机器人辅助定位下的肺部肿瘤消融治疗。
这一先进设备与技术的顺利应用,对进一步提升精准医疗、智慧医疗具有重大意义,标志着该院肺结节微创诊疗实现全面跨越,正式迈入智慧医疗新阶段。
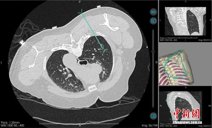
图为机器人引导下实际穿刺路径。广西医科大学第一附属医院 供图当天,该院心胸外科主任阳诺带领消融团队开展手术。他介绍,在术前,穿刺手术机器人系统基于患者CT影像,能自动构建详细的肺部3D立体模型,清晰呈现结节与周围血管、气管等重要组织的位置关系。
“它就像一位‘智能导航员’,精准规划穿刺路径、角度与深度,有效避开血管、气管等重要组织结构,将误差控制在毫米级。”阳诺说。
术中,机器人就像有了“智慧眼睛”和“稳定双手”,整个过程机械臂平稳导航,无需调针,实现对靶病灶的“一针到位”,减少了CT扫描次数和患者的辐射暴露。机器人的应用避免了人为因素可能带来的穿刺偏差,从而减少对周围正常组织的损伤,降低了气胸、出血等并发症的发生率,也缩短了手术时间。
快速精准定位一直是肺结节介入诊疗的核心环节。目前,CT引导下经皮肺肿瘤消融治疗、经皮肺结节穿刺定位术、经皮肺肿瘤穿刺活检术等均依赖于高超精准的穿刺技术。传统穿刺方式高度依赖操作者的手感与临床经验,而机器人穿刺导航系统可复刻规划好的穿刺路径,彻底改变传统操作模式。
据介绍,2023年5月,该院心胸外科获批“中国医师协会肺部肿瘤消融治疗技术培训基地(国家级)”。目前,应用消融技术已为数千名肺部结节、肺部肿瘤患者解除病痛,同时招收和接纳来自全国各地的学员到基地进行技术培训与交流。(完)
4001102288 欢迎批评指正
Copyright © 1996-2019 SINA Corporation
All Rights Reserved 新浪公司 版权所有
All Rights Reserved 新浪公司 版权所有
