齐鲁晚报·齐鲁壹点记者 郭蕊 通讯员 胡琪 王莹
在与恶性肿瘤的艰难较量中,山东第二医科大学附属济南市第五人民医院肿瘤血液科始终坚守科学与人文的双重阵地。凭借尖端医学成果、标准化诊疗流程及多学科协作优势,科室为每位患者打造专属精准治疗方案,在对抗病魔的同时,全力捍卫患者的生命质量与尊严。近期,一例晚期下咽癌患者的成功救治,成为科室精湛医术与仁心大爱的生动写照。
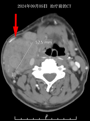
2024年9月5日,67岁的许先生因右颈部肿物持续增大2个月到济南市五院就诊。巨大的肿块严重影响了他的吞咽功能和颈部活动,这让他内心蒙上了一层沉重的阴影。经过全面细致的检查以及颈部肿物穿刺活检,许先生被确诊为局部晚期下咽癌(IVb期)。由于肿瘤侵犯范围广泛,他已失去了手术机会。
面对这一困境,肿瘤血液科陈亚琳主任医师带领的团队并未放弃。他们严格参照《CSCO头颈部肿瘤诊疗指南》,充分尊重患者的意愿,精心制定了“免疫治疗联合化疗序贯精准放疗”的综合治疗方案。该方案通过激活患者自身免疫系统精准打击癌细胞,配合高精度放疗靶向清除肿瘤病灶,在实现强效抗癌的同时,最大限度保护周围正常组织。


治疗前后对比
经过一段时间的系统治疗,奇迹出现了。患者右颈部巨瘤已基本消失不见,颈部形态与活动功能大幅改善。复查CT影像清晰显示,肿瘤病灶达到完全缓解(CR)标准。从吞咽困难到正常进食,从活动受限到行动自如,这份康复不仅让许先生重获健康体魄,更让他重新燃起了对生活的希望。


治疗前后CT对比
“看到患者重拾笑容,就是对我们最大的肯定!”肿瘤血液科科主任牛德红表示。一直以来,科室始终践行“以患者为中心”的服务理念,持续深耕免疫治疗、靶向治疗、放射治疗等前沿技术领域。他们用精准医疗为患者破除病痛,用温暖关怀为患者点亮生命之光。这个患者的成功救治充分证明,即使面对晚期肿瘤,只要将科学治疗与人文关怀完美结合,依然能够创造生命奇迹。未来,肿瘤血液科全体医护人员将继续以专业为舟、以爱心为桨,在抗癌之路上砥砺前行,为更多患者带来康复的希望,守护每一个生命应有的尊严与光芒!
4001102288 欢迎批评指正
All Rights Reserved 新浪公司 版权所有
