齐鲁晚报·齐鲁壹点记者 郭蕊 通讯员 胡琪 王莹
近日,山东第二医科大学附属济南市第五人民医院普外科为一名80岁高龄的右半肝及胆总管广泛结石继发急性梗阻性化脓性胆管炎患者,成功实施了“右半肝切除+胆囊切除+胆总管切开探查胆道镜取石术”。经医护人员精心治疗,患者已康复出院。该病例的成功救治,充分展现了济南市第五人民医院普外科医护团队在超高难度肝胆手术中的外科技艺及在老年重症感染综合救治方面的围手术期科学化、精细化综合管理能力。
患者为80岁男性,因右上腹剧痛、发热伴恶心呕吐入院,完善检查后确诊为急性化脓性胆管炎,其病因在于右肝内胆管、胆囊及胆总管内广泛性结石继发肝内外胆道感染,病情危急,需尽早手术治疗。但患者60余年的吸烟史及需右半肝切除的上腹部手术极大地增加了围手术麻醉、手术和术后的康复风险。
面对困难,张建平主任带领团队凭借丰富的临床经验,果断决策,迅速制定了周密的手术与围手术期治疗方案,在积极控制感染、稳定内环境、做好充分呼吸道准备后,手术如期进行。术中探查发现,患者病情比影像学显示更为复杂:右半肝因长期结石梗阻和反复感染,已明显萎缩、纤维化,与膈肌等周围组织致密粘连,伴有膈下脓肿形成,稍有不慎分破膈肌将导致胸腔感染,术后肺功能衰竭。主刀张建平主任沉稳分离粘连组织,精细解剖肝门结构,牢牢控制每一支重要的血管与胆管。最终,病变的右半肝及胆囊被完整切除,胆总管内的结石也在胆道镜直视下被彻底取净,共取出结石数百枚,更有数枚直径可达2cm。手术过程流畅,出血仅约100余毫升。
张建平主任及团队手术中术后康复也是一场硬仗。普外科医护团队为患者量身定制了精细化的围手术期管理方案:严格控制液体平衡,实施加速康复外科(ERAS)策略,精细化镇痛管理,密切监测肝功能与感染指标,并特别强化呼吸道护理,有效预防了肺部并发症。在科室医护人员的日夜精心照护下,患者平稳度过了肝衰竭、感染、心肺功能不全等高危阶段,最终康复出院。

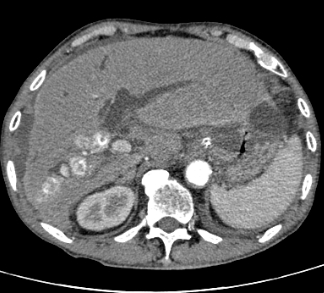
术前CT影像
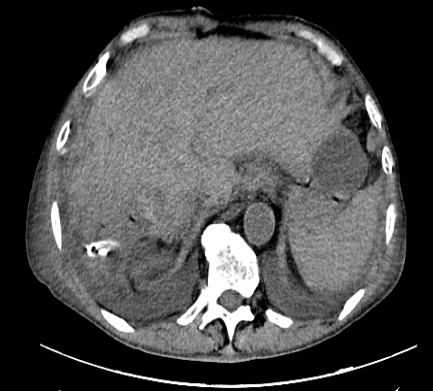
术后复查CT影像张建平主任介绍,肝胆管结石是一种常见的胆道疾病,其发病原因复杂,可以单独存在,也可以与肝外胆管结石并存。结石可诱发局部感染及继发胆管狭窄,感染及胆道狭窄促进结石形成,形成恶性循环,病情迁延不愈,严重者并发胆管化脓性感染、肝脓肿、急性胰腺炎,甚至诱发胆管癌,给患者的健康和生活质量带来严重影响。对于肝内胆管结石,只有早发现、早治疗、控制感染、去除病灶才是治疗之本。本例手术的成功,展现了济南市第五人民医院普外科团队在肝胆外科方面的综合诊治和应急处置综合能力达到省内先进水平。
4001102288 欢迎批评指正
All Rights Reserved 新浪公司 版权所有