来源:生命科学前沿
在基因治疗领域,CRISPR-Cas 系统虽极具潜力,但源于细菌的基因组编辑工具存在免疫原性问题,如多数健康个体对相关细菌蛋白及 Cas 核酸酶有预存免疫,阻碍了其临床应用。张锋院士团队在基因编辑领域有深厚积累,此前也在相关技术研发上不断推进,他率先将 CRISPR-Cas9 基因编辑技术成功应用于哺乳动物和人类细胞,这一突破为基因编辑技术在生物医学研究和治疗领域的广泛应用奠定了重要基础。他的团队还致力于挖掘新型微生物酶和系统,如发现的 OMEGA 系统、Fanzor 系统、基于「细菌注射器」的蛋白质递送系统、基于 VLP 的 mRNA 递送系统等,并积极探索其在分子技术发展中的应用潜力,不断拓展基因编辑技术的边界,为解决基因治疗中的各种难题提供了新的思路和工具,在国际基因编辑研究领域占据着重要的地位。
2025 年 1 月 2 日,麻省理工学院和哈佛大学布罗德研究所的张锋院士团队在 Nature communications 期刊上发表「Rational engineering of minimally immunogenic nucleases for gene therapy」的研究论文,该研究通过对 SaCas9 和 AsCas12a 核酸酶进行 MHC 相关肽蛋白质组学(MAPPs)分析及一系列计算和实验验证,发现了这两种核酸酶的免疫原性表位,并成功设计出低免疫原性的变体(Redi 变体),这些变体在保持活性和特异性的同时,能显著降低免疫反应,为基因治疗提供了更安全有效的工具。
图 1 相关研究(图源:[1])一、免疫原性表位的确定与变体设计
如何找出 SaCas9 和 AsCas12a 核酸酶的免疫原性表位并设计出低免疫原性变体?研究人员通过 MHC 相关肽蛋白质组学(MAPPs)分析,对转染 SaCas9 或 AsCas12a 质粒的 HLA-A*0201 表达 MDA-MB-231 细胞进行研究。利用质谱鉴定与 MHC I 类分子结合的肽段,确定了 SaCas9 的三个免疫优势表位为 8-GLDIGITSV-16、926-VTVKNLDVI-934、1034-ILGNLYEVK-1050,AsCas12a 的为 210-RLITAVPSL-218、277-LNEVLNLAI-285、971-YLSQVIHEI-979。接着,研究人员采用结构导向的计算方法,借助 Rosetta 蛋白设计软件引入突变。以 14 个 HLA 等位基因的位置特异性得分矩阵(PSSM)模型为依据,在保持核酸酶功能的同时,改变表位周围氨基酸序列以降低 MHC 结合倾向。对每个免疫原性表位设计了三或四个包含单点突变的变体,且确保突变位置不影响 DNA、RNA 结合区域及催化位点。
图 2 预测与 MHC I 分子结合减少的 SaCas9 和 AsCas12a 表位(图源:[1])二、变体的验证与体内外功能检测
设计好的变体在体内外环境下能否有效发挥作用并减少免疫反应呢?在体外实验中,研究人员使用 NetMHCpan 4.1 预测突变肽与 MHC 分子的结合情况,结果显示野生型肽中部分有较强结合,而突变肽变体预计会降低结合强度。同时,研究人员通过 ELISpot 实验,用合成的野生型和突变型肽段刺激健康人供体的外周血单个核细胞(PBMCs,HLA-A*0201)来检测 CD8+ T 细胞介导的免疫原性。如对于 SaCas9,表位 1 和 2 的突变肽变体产生的斑点明显少于野生型,表明免疫反应降低;表位 3 突变肽变体与野生型斑点形成水平相当。AsCas12a 的突变肽变体也显著减少了斑点形成,且在更广泛的 HLA 类型 PBMCs 测试中也发现部分突变肽有降低免疫原性效果。
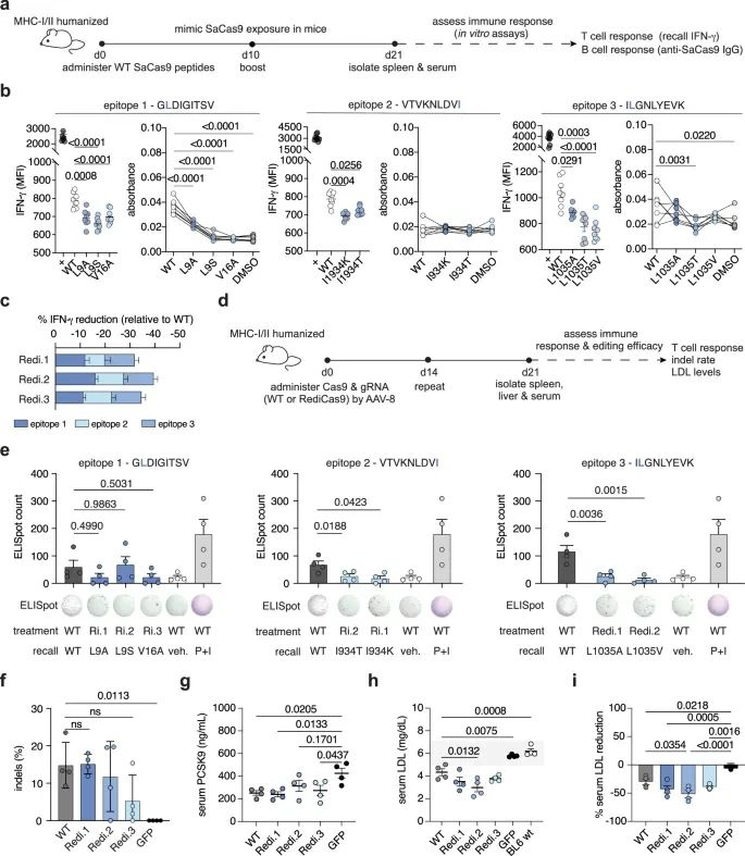
图 3 单点突变的 SaCas9 和 AsCas12a 肽在体外免疫原性较差(图源:[1])在体内实验中,研究人员利用人源化 MHC I/II 小鼠模型(A2.DR1)。先以纯化的重组 SaCas9 野生型肽免疫小鼠模拟 Cas9 暴露,然后用 ELISpot、细胞内细胞因子检测和抗 SaCas9 IgG ELISA 评估对野生型和 SaCas9 Redi 变体肽的适应性免疫反应。结果显示,SaCas9 Redi 变体的 T 细胞细胞因子产生(如 IFN-γ 和 IL-2)大幅减少,抗体结合亲和力降低。之后通过尾静脉注射腺相关病毒 8(AAV8)载体编码的野生型或 SaCas9.Redi 变体及靶向 Pcsk9 的 gRNA 到 A2.DR1 小鼠体内模拟重复给药。在第 21 天检测肝脏编辑效率、血清低密度脂蛋白(LDL)胆固醇水平及免疫反应。结果表明,SaCas9.Redi.1 变体编辑效率与野生型 SaCas9 相当,且能显著降低免疫反应,如减少血清中促炎细胞因子水平,同时降低 LDL 胆固醇水平与野生型相似,且无短期肝毒性。
图 4 SaCas9.Redi 变异体在体内表现出较低的免疫原性(图源:[1])该研究成功鉴定出 SaCas9 和 AsCas12a 的免疫原性表位,并通过计算设计和实验验证获得了低免疫原性的 Redi 变体,这些变体在体外和体内实验中均表现出降低的免疫反应和保持的编辑活性与特异性,为工程化治疗性蛋白以降低免疫原性提供了框架,但仍需进一步研究以开发适用于多种 HLA 类型的低免疫原性核酸酶变体,并确定基因治疗受者中从消除 CD8+ T 细胞反应中受益的比例,以提高基因组编辑疗法在不同临床环境中的安全性和有效性。此外,未来还应关注其他免疫原性表位,以实现更广泛的免疫原性降低,同时探索其他避免免疫检测的方法。
参考资料:
[1] Raghavan, Rumya et al. Rational engineering of minimally immunogenic nucleases for gene therapy. Nature communications . 2025 Jane 2.
通讯作者:
张锋,斯坦福大学化学及生物工程博士,美国艺术与科学院院士,美国国家科学院院士,美国国家发明家科学院院士,美国国家医学院院士,麻省理工学院教授,麦戈文脑科学研究所研究员,博德研究所研究员,国际公认的 CRISPR-Cas 基因编辑技术先驱之一,2016 年 1 月入选汤森路透 「2015 年全世界 19 位最具影响力的科学家 」 之一,9 月入围汤森路透化学领域 「 引文桂冠奖 」;2017 年晋升为麻省理工学院终身教授;2018 年 4 月当选为美国艺术与科学院院士,5 月当选为美国国家科学院院士;2020 年 12 月当选为美国国家发明家科学院院士;2021 年 10 月当选为美国国家医学院院士。他的研究团队致力于解决基因治疗中基因组编辑工具的免疫原性等关键问题。其团队通过对 SaCas9 和 AsCas12a 等核酸酶的深入研究,运用 MHC 相关肽蛋白质组学(MAPPs)分析及计算建模等方法,成功设计出低免疫原性的变体,为基因治疗工具的优化做出了重要贡献,推动了基因编辑技术在临床应用方面的发展,在基因治疗领域具有广泛的影响力。
图片来源:图虫创意
来源:丁香学术
4001102288 欢迎批评指正
All Rights Reserved 新浪公司 版权所有
